1652 казахстанца с коронавирусом находятся в тяжелом состоянии
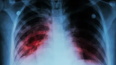
Минздрав РК опубликовал статистику пациентов, болеющих COVID-19.
Минздрав РК опубликовал статистику пациентов, болеющих COVID-19.
Минздрав рассказал о состоянии казахстанцев, болеющих COVID-19.
102 казахстанца находятся в тяжелом состоянии, 13 – крайней степени тяжести, 16– на аппаратах ИВЛ.
В Бейнеуском районе было зарегистрировано 384 случая заболевания COVID-19.
Снизилось число вызовов скорой помощи, в том числе по поводу коронавируса.
Врач-фтизиатр с многолетним стажем выписку из стационарного госпиталя назвала своим вторым рождением.
Консилиумом врачей принято решение о переводе Атамбаева в больницу.
В Туркестанской области круглосуточно работают 124 бригады скорой помощи.
Более 16 тысяч инфицированных коронавирусом в Казахстане — симптомные.
Изначально у мужчины анализ на коронавирус дал отрицательный результат.
Медики рассказали подробнее о восьми новых случаях коронавируса.
Самый возрастной абитуриент выбирает между двумя университетами.
Всего с начала 2018 года зарегистрировано 85 подтвержденных случаев менингококковой инфекции.
Скончалась джазовая певица Жанна Саттарова, передает Total.kz.
В адрес североказахстанской полиции поступило благодарственное письмо от семьи Бурлукпаевых. Их восьмимесячная дочь страдает серьезным и очень редким заболеванием, известным в народе как…
На внеочередной сессии маслихата Алматы депутаты подняли вопрос о предоставлении на бесплатной основе дорогих лекарств детям, нуждающимся в лечении.
Умершая работала лифтером в алматинской больнице.
Женщина обратилась 7 апреля в поликлинику с симптомами пневмонии.
Случаи заражения произошли в одной из средних школ Актау.
Двум детям врачи провели успешные высокотехнологоческие операции.